Glendale Wisdom Teeth

Expert Wisdom Teeth Removal in Glendale 

Wisdom teeth, or third molars, typically emerge between ages 17-25. While some people experience no issues, many face pain, swelling, and misalignment due to limited space in the jaw. Impacted wisdom teeth—those that cannot fully emerge—can lead to infections, crowding, or cyst formation. 

At Lifetime Smiles Dental Care in Glendale, we specialize in gentle, expert wisdom teeth extractions to prevent complications and protect your long-term oral health. If you're experiencing jaw pain, swollen gums, or difficulty chewing, schedule an evaluation with our experienced dental team today.

Our Wisdom Teeth Removal Process

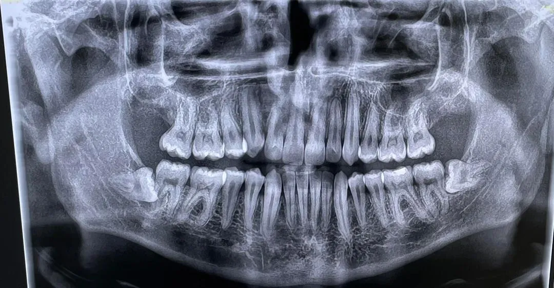
Comprehensive Evaluation & Digital X-Rays 


Your treatment begins with a thorough examination at Lifetime Smiles Dental Care, where we take detailed digital X-rays to assess the position, growth, and potential impact of your wisdom teeth. This allows us to determine whether extraction is necessary and helps us plan the best approach for your individual case.

In-Office Whitening

Personalized Treatment Plan & Sedation Options

Based on your unique dental needs, we will create a customized treatment plan tailored to ensure a smooth and comfortable experience. Our team will discuss sedation options, including local anesthesia, nitrous oxide (laughing gas), or IV sedation, to help you feel relaxed and pain-free throughout the procedure.

Take-Home Kits

Wisdom Teeth Removal Aftercare

  • Recovery is straightforward with proper care. Mild swelling and soreness are expected but can be managed with ice packs and prescribed pain relievers. Soft foods like yogurt, mashed potatoes, and soups are recommended for the first few days. Good oral hygiene is essential, but avoid brushing directly over the extraction site for the first 24 hours. Rinse gently with warm salt water to keep the area clean. To prevent dry socket, avoid using straws, smoking, or vigorous rinsing for at least a week. Most patients resume normal activities within a few days, but strenuous physical activity should be limited until fully healed.

Frequently Asked Questions (FAQs)

Do all wisdom teeth need to be removed?

Not always. If they are healthy, fully erupted, and aligned, they may not need extraction. However, impacted or misaligned wisdom teeth should be removed to prevent future problems.

What is the best age for wisdom teeth removal?

The ideal time is between ages 17-25, while the roots are still developing. However, adults can have them removed at any age if necessary.

Will I be awake during the procedure?

At Lifetime Smiles Dental Care, we offer local anesthesia, nitrous oxide (laughing gas), and IV sedation to ensure a pain-free, comfortable experience.

How long does it take to recover?

Most patients recover within 3-5 days, with full healing in a few weeks. Swelling and mild discomfort are normal during the first few days.

What happens if I don’t remove impacted wisdom teeth?

Leaving them untreated can cause pain, infections, damage to nearby teeth, and cyst formation. Early removal prevents these complications.

Can I go back to work or school after wisdom teeth removal?

Most patients take 1-2 days off for rest, but recovery time varies depending on the complexity of the extraction.

Schedule Your Wisdom Teeth Consultation Today!

If your wisdom teeth are causing discomfort, don’t wait for complications. Schedule a consultation at Lifetime Smiles Dental Care today!

Contact Us

Send Us An Email Today

Our Location

6666 W Peoria Ave, Suite 117 | Glendale, AZ 85302

Hours of Operation

Our Regular Schedule

Monday:

9:00 am-4:00 pm

Tuesday:

9:00 am-4:00 pm

Wednesday:

Closed

Thursday:

9:00 am-4:00 pm

Friday:

9:00 am-3:00 pm

Saturday:

Closed

Sunday:

Closed